La dentisterie adhésive regroupe l’ensemble des traitements destinés à reconstruire ou embellir les dents grâce à des techniques de collage.
Esthétique
L'esthétique est une notion très personnelle...
Alors, nous sommes présents pour vous accompagner, vous guider, et mettre en œuvre une réhabilitation esthétique et fonctionnelle qui vous ressemble, et vous redonne votre sourire, ou celui dont vous rêvez…
Un traitement "esthétique", n'est-il pas celui que vous même ne voyez plus ?
Vous souhaitez réaliser une étude esthétique pour un nouveau sourire ?
Contactez-nous !
Nos compétences
Certains défauts esthétiques du sourire, et plus particulièrement de la gencive, peuvent être traités à l’aide d’une greffe gingivale.
Les facettes sont des revêtements très fins en céramique qui sont collés sur la face externe des dents pour retrouver un sourire harmonieux.
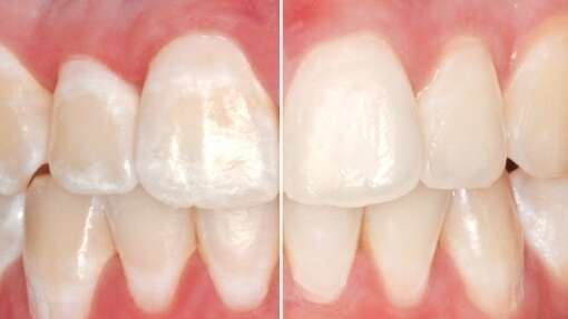
L’émail de la dent étant légèrement poreux, le tabac, le thé ou le café peuvent lui donner une coloration disgracieuse. Quelles solutions pour y remédier ?
Le tiers inférieur du visage, avec particulièrement les dents et la bouche, constitue un élément important pour le regard d'autrui.





