Les couronnes céramo-céramique
Des Couronnes Céramiques Sans Métal : L'Excellence au Service de Votre Sourire
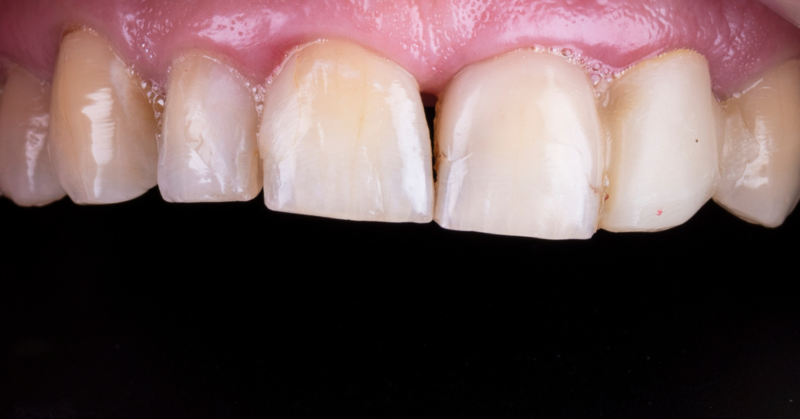
Fini les rebords gris visibles sous la gencive !
Les couronnes céramiques sans métal sont aujourd’hui une alternative esthétique, légère et résistante, parfaitement intégrée à votre sourire naturel.
Fabriquées en céramique pure, ces couronnes reproduisent fidèlement les propriétés optiques d’une dent naturelle : translucidité, luminosité et nuances de teinte, pour un rendu harmonieux, sans aspect artificiel ni opacité.
Un confort biocompatible
Entièrement biocompatibles et inertes, elles respectent les tissus gingivaux, sans relarguer de substances dans l’organisme ni interagir avec d'autres matériaux dentaires.
Un choix sain, durable et sans compromis.
Une fabrication artisanale et locale
Nos couronnes sont réalisées dans un laboratoire de prothèse situé dans le Vaucluse, en étroite collaboration avec un artisan prothésiste spécialisé. Grâce à la photographie macroscopique, chaque détail – teinte, texture, translucidité, voire les petites irrégularités naturelles – est reproduit avec précision. Résultat : une prothèse invisible à l’œil nu, que vous seul reconnaîtrez.
Un choix résolument moderne
En accord avec notre laboratoire partenaire, nous avons fait le choix de la qualité et de la modernité, en ne proposant que des prothèses sans métal. Une décision esthétique, éthique et durable, pour vous garantir des restaurations à la fois sûres, naturelles et haut de gamme.
Step by step
