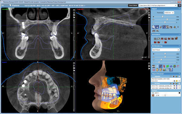
Le scanner Cone Beam est une technique évoluée d’imagerie radiographique dont l’utilisation est en plein développement.
Radiologie
Le cabinet est équipé d'une radio numérique endobuccale haute définition; ainsi qu'une panoramique, et un scanner cônebeam 3D.
Ce dernier permet, comme un scanner médical, d'apprécier en trois dimensions vos structures anatomiques... machoire, dents, densité osseuse.
Cet outil offre une meilleure visualisation des canaux dentaires pour une dévitalisation par exemple, ou une plannification chirurgicale optimale en cas de régénération osseuse ou la pose d'implants.
Dans les traitements numériques de restauration dentaire, l’empreinte des dents se fait à l’aide d’une caméra qui filme les surfaces dentaires.
Une radio panoramique dentaire est un cliché de l’ensemble de la denture et des articulations temporo-mandibulaires.
La CFAO est une technique de restauration dentaire qui fait appel à la Conception et Fabrication Assistée par Ordinateur.





