Les facettes dentaires
Pourquoi choisir les facettes en céramique ?
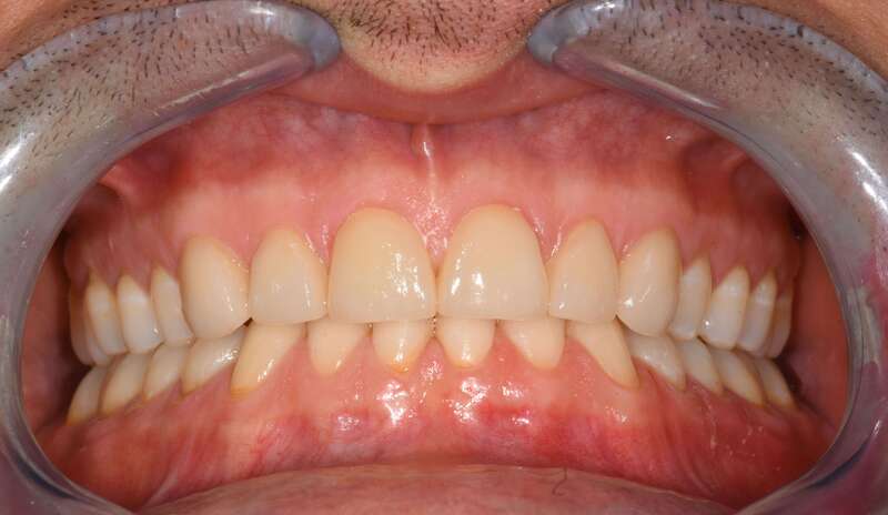
Les facettes dentaires sont de fines pellicules de céramique, à la fois résistantes et esthétiques, collées de manière permanente sur la face visible des dents. Véritable substitut à l’émail naturel, elles permettent de restaurer l’apparence de la dent tout en conservant une grande finesse et transparence.
Grâce à leurs propriétés optiques (blancheur, transmission de la lumière), mécaniques (résistance à l'usure) et biologiques (compatibilité avec les tissus buccaux), les facettes en céramique reproduisent fidèlement l’apparence et le comportement des dents naturelles.
Elles offrent une solution durable et hautement esthétique pour corriger :
-
La forme des dents
-
Leur teinte (blanchiment permanent)
-
Les malpositions légères
-
Les anomalies de l’émail ou de la structure dentaire
Les facettes sont particulièrement recommandées pour les dents antérieures, notamment dans le cadre du traitement de l’usure érosive (acide, bruxisme, vieillissement), afin de reconstruire et magnifier le sourire de façon naturelle et harmonieuse.
Step By Step
Un demi millimètre d'épaisseur ...
