CABINET DENTAIRE BONNIEUX - MAISON SMILE LUB
Implantologie - Parodontologie - Esthétique - Digital work flow - Réhabilitation globale
Accueil
Votre cabinet
Agrandissement 2026
Application Mobile TÉA
Nos soins
Extraction et Préservation Alvéolaire
Digital work flow
Implantologie
Régénération osseuse
Esthétique & Céramique
Parodontologie & Déchaussement
Prothèse Ethique Française et céramiques
Prothèse totale implantoportée
Hygiène, Prévention & Pédodontie
Endodontie & Vos racines
Bruxisme
Radiologie
Matériaux et ressources
Nos vidéos
Fiches Conseils
Conseils chirurgie
Doc, j'ai mal
Première visite
1ère visite - Infos obligatoires
Accès
Tarifs
Personnes fragiles
RGPD
Recrutement en cours (0)
Contactez-nous !
DEMANDE DE RDV
123 Avenue des tilleuls - Église basse -, 84480 BONNIEUX
+33 4 90 75 49 11
CABINET DENTAIRE BONNIEUX - MAISON SMILE LUB
Implantologie - Parodontologie - Esthétique - Digital work flow - Réhabilitation globale
Accueil
Votre cabinet
Agrandissement 2026
Application Mobile TÉA
Nos soins
Extraction et Préservation Alvéolaire
Digital work flow
Implantologie
Régénération osseuse
Esthétique & Céramique
Parodontologie & Déchaussement
Prothèse Ethique Française et céramiques
Prothèse totale implantoportée
Hygiène, Prévention & Pédodontie
Endodontie & Vos racines
Bruxisme
Radiologie
Matériaux et ressources
Nos vidéos
Fiches Conseils
Conseils chirurgie
Doc, j'ai mal
Première visite
1ère visite - Infos obligatoires
Accès
Tarifs
Personnes fragiles
RGPD
Recrutement en cours (0)
Contactez-nous !
DEMANDE DE RDV
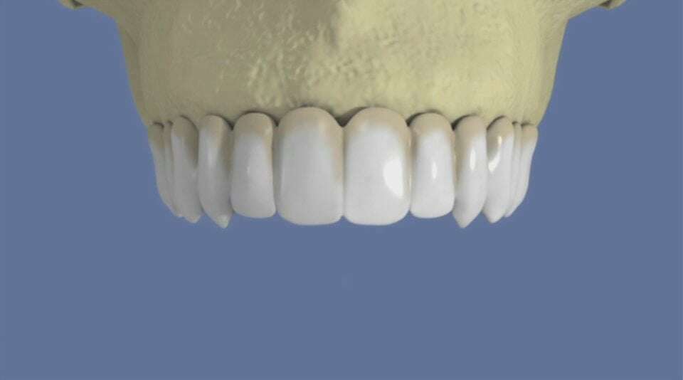
Maxillaire : bridge vissé sans fausse gencive
Vidéos 3D
Partager
Twitter
Partager
Partager
Envoyer
Copier
Découvrez notre collection de fiches pédagogiques
À la une
(2)
Esthétique et céramique
(7)
Informations pratiques
(9)
Infos du mois
(1)
L'équipement du cabinet dentaire
(6)
L'orthodontie
(18)
Les choix esthétiques
(8)
Les dents chez l'adulte
(5)
Les dents de l’enfance à l’adolescence
(14)
Les dents et la santé
(22)
Les gencives
(30)
Les implants
(28)
Les pathologies bucco-dentaires
(25)
Les prothèses
(31)
Nos compétences
(22)
Nos compétences en parodontologie.
(13)
Omnipratique
(125)
Pour aller plus loin...
(23)
Prendre soin des dents
(18)
Conditions Générales Utilisation
Mentions légales
Politique de confidentialité et charte cookie
Charte déontologique
Ordre national
Création par
Connexion